症例
| 診察時間 | 月 | 火 | 水 | 木 | 金 | 土 | 日 |
|---|---|---|---|---|---|---|---|
| 10:00〜14:00 | ● | ● | ● | ● | ● | ▲ | ▲ |
| 15:30〜19:30 | ● | ● | ● | ● | ● | ▲ | ▲ |
【▲土日】10:00~13:30/14:30~18:00【休診日】祝日・年末年始

インプラント/矯正相談実施中
- 土日診療
- 全室個室
- 関内駅北口徒歩0分
- 女性Dr.在籍
-
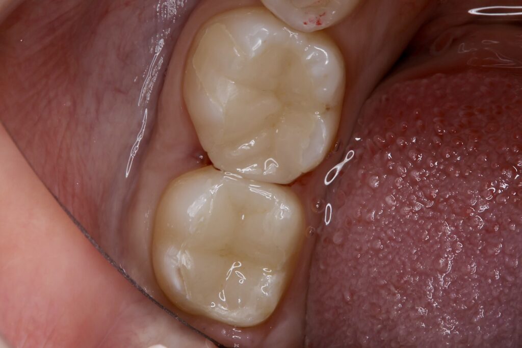
審美歯科
50代、女性。以前他院で治療したプラスチックの詰め物が取れてご来院されました。
-
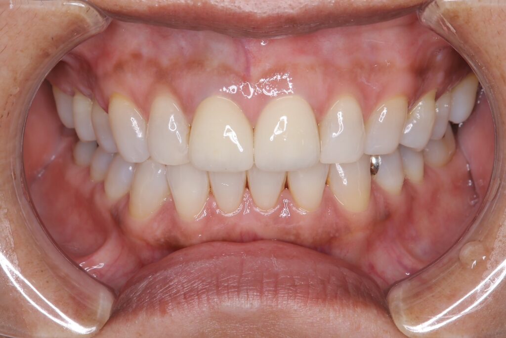
審美歯科
30代、男性。他院で治療したプラスチックの詰め物が不適合でご来院されました。
-
審美歯科
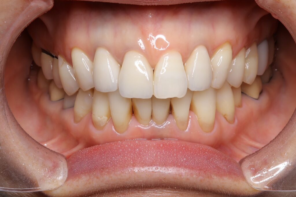
70代、男性。被せ物の劣化と噛み合わせの平面が合っていないとのことでご来院されました。
-
審美歯科
70代、女性。被せ物をやり変えたいとのことでご来院されました。
-
審美歯科
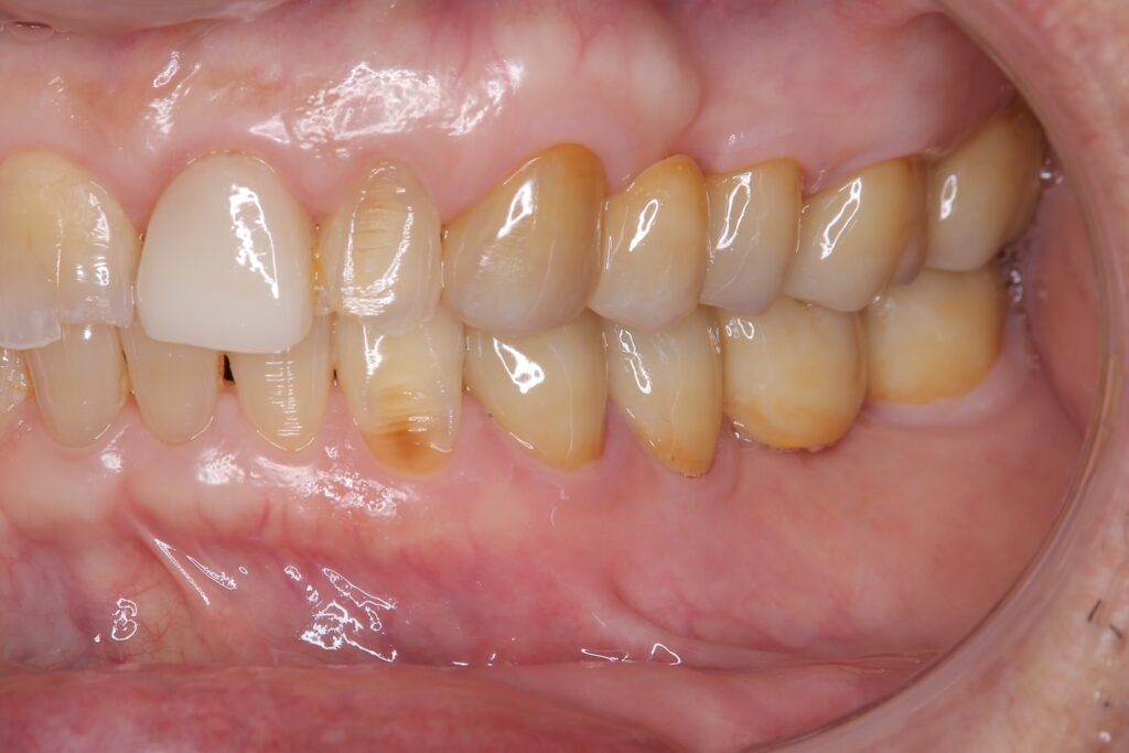
40代、女性。過去に治療した銀歯をセラミックにやりかえ希望でご来院されました
-
審美歯科
50代、女性。経年的な変色、歯肉退縮による歯と歯の隙間が気になるとのことでご来院されました。
-
審美歯科
20代、男性。歯列矯正後、審美欲求も高まり銀歯のやりかえ希望でご来院されました。
-
審美歯科
20代、女性。数ヶ月前に他院にてプラスチックで治療をされた所が欠けて来院されました。
-
根管治療
上顎大臼歯のMBⅡ根という、CT撮影+マイクロスコープを使わないと見つけづらい根っこの治療
-
矯正歯科
20代、男性。前歯の歯並びが気になるとのことでご来院されました。
-
根管治療
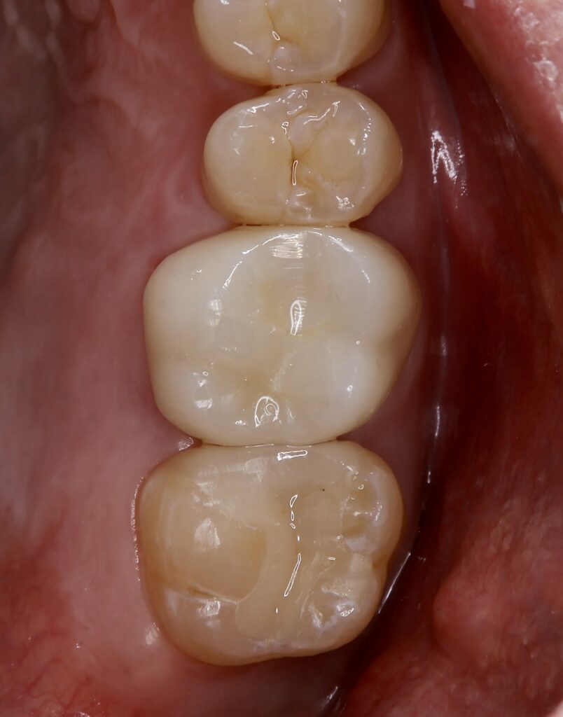
上顎大臼歯のMBⅡ根という、CT撮影+マイクロスコープを使わないと見つけづらい根っこの治療
-
根管治療
根管治療②








