症例
| 診察時間 | 月 | 火 | 水 | 木 | 金 | 土 | 日 |
|---|---|---|---|---|---|---|---|
| 10:00〜14:00 | ● | ● | ● | ● | ● | ▲ | ▲ |
| 15:30〜19:30 | ● | ● | ● | ● | ● | ▲ | ▲ |
【▲土日】10:00~13:30/14:30~18:00【休診日】祝日・年末年始

インプラント/矯正相談実施中
- 土日診療
- 全室個室
- 関内駅北口徒歩0分
- 女性Dr.在籍
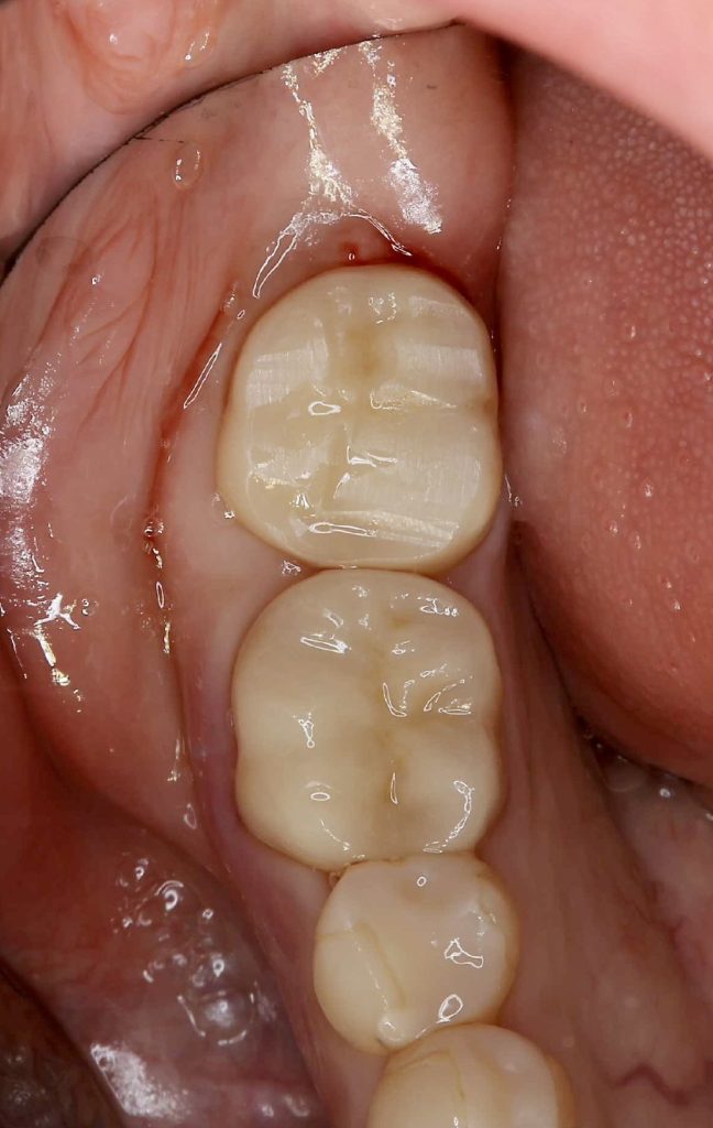
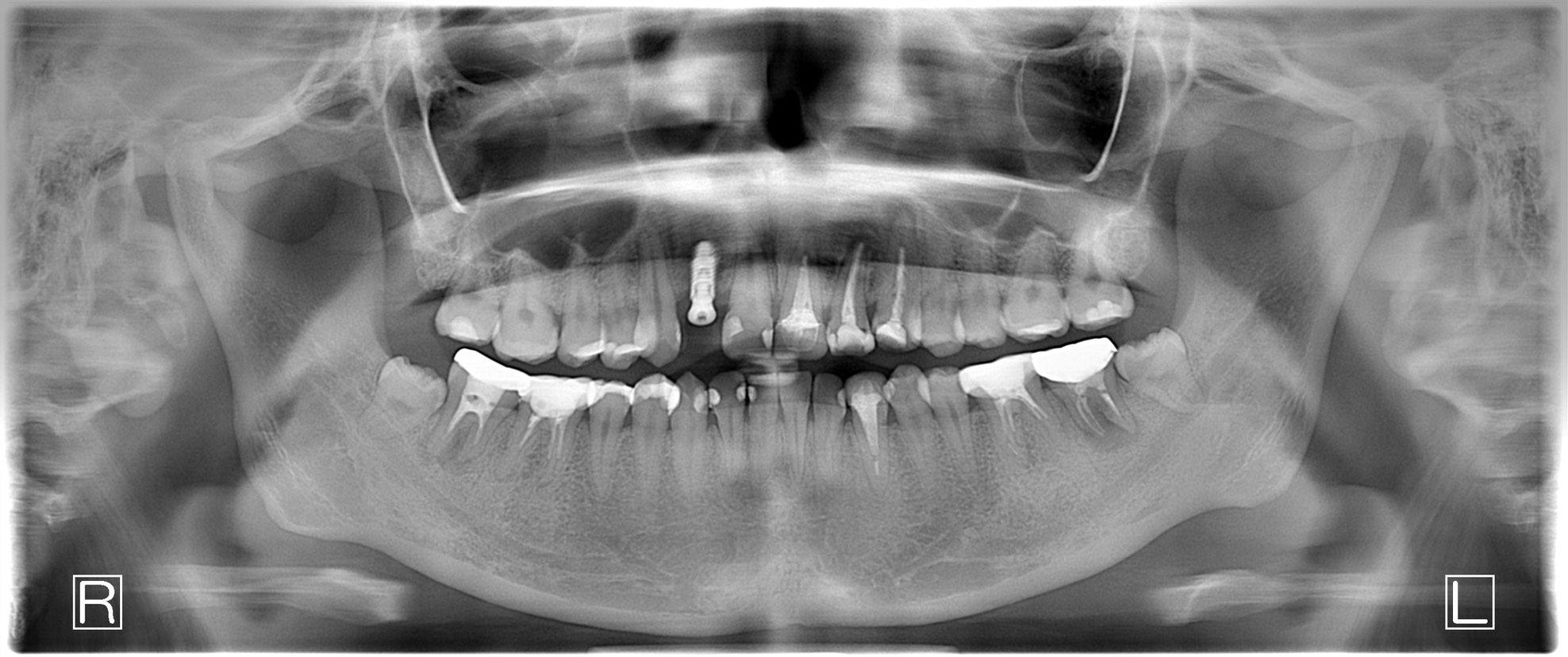
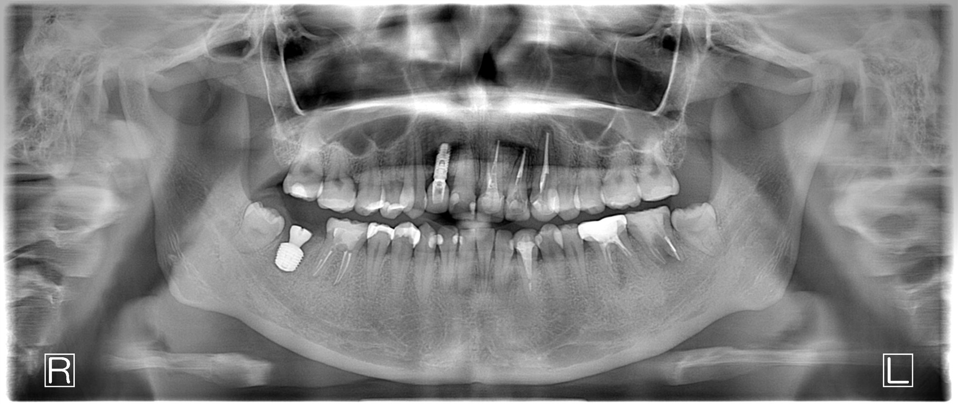
30代、女性、右下に違和感があることを健診中に申され、インプラント治療を行いました。
治療の流れ一覧
①

②

③

④

⑤

⑥

⑦

⑧

⑨









症例詳細
| 患者様の主訴 | 右下に違和感がある |
| 診断結果 | 右下7番歯根破折 |
| 治療内容 | 抜歯即時インプラント |
| 治療期間 | 8週間 |
| 治療費用 | ¥539,000(税込) |
| リスク | ・機能性や審美性を重視するため自費(保険適用外)での診療となり、保険診療よりも高額になります。 ・インプラントの埋入にともない、外科手術が必要となります。 ・毎日の清掃が不十分だった場合、インプラント周囲炎(歯肉の腫れや骨吸収など)を引き起こすことがあります。 |





