症例
| 診察時間 | 月 | 火 | 水 | 木 | 金 | 土 | 日 |
|---|---|---|---|---|---|---|---|
| 10:00〜14:00 | ● | ● | ● | ● | ● | ▲ | ▲ |
| 15:30〜19:30 | ● | ● | ● | ● | ● | ▲ | ▲ |
【▲土日】10:00~13:30/14:30~18:00【休診日】祝日・年末年始

インプラント/矯正相談実施中
- 土日診療
- 全室個室
- 関内駅北口徒歩0分
- 女性Dr.在籍
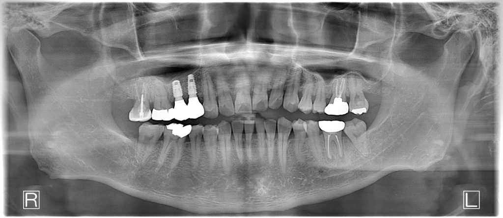
60代、男性。過去に治療途中で通わなくなり最近痛みが増してきたということで来院され、インプラント治療を行いました。
治療の流れ一覧
①

②

③

④

⑤

⑥

⑦

⑧








症例詳細
| 患者様の主訴 | 右上が痛い |
| 診断結果 | 右上4・5番重度う蝕、歯根破折 |
| 治療内容 | 抜歯即時インプラント |
| 治療期間 | 12週間 |
| 治療費用 | ¥94,600(税込) |
| リスク | ・機能性や審美性を重視するため自費(保険適用外)での診療となり、保険診療よりも高額になります。 ・インプラントの埋入にともない、外科手術が必要となります。 ・毎日の清掃が不十分だった場合、インプラント周囲炎(歯肉の腫れや骨吸収など)を引き起こすことがあります。 |





